How To Know If Testicular Cancer Has Spread To Lungs / Why Do Nonsmokers Get Lung Cancer Md Anderson Cancer Center - These cancers have spread to a distant lymph node or the lungs.
Dapatkan link
Facebook
X
Pinterest
Email
Aplikasi Lainnya
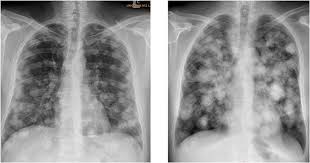
How To Know If Testicular Cancer Has Spread To Lungs / Why Do Nonsmokers Get Lung Cancer Md Anderson Cancer Center - These cancers have spread to a distant lymph node or the lungs.. A painless lump or swelling on either testicle. If it has spread to the lungs you may have a cough or feel breathless. There is no poor prognosis grouping for seminoma testicular cancer. Cancer is always named for the place where it starts. These cancers have spread to a distant lymph node or the lungs.
Bloating and abdominal pain are indicative that cancer has even spread to the liver and lymph nodes. This is also called testicular cancer bone metastasis. If it is not detected and treated, testicular cancer eventually can spread to the lungs, brain, liver, and other parts of the body. At least one tumour marker level is moderately high. Swelling and enlargement of male breasts.
How Many Of The 8 Signs Of Testicular Cancer Can You Name More Than A Third Of Men Have No Idea from www.thesun.co.uk Pain and fractures, when cancer has spread to the bone headache, seizures, or dizziness, when cancer has spread to the brain shortness of breath, when cancer has spread to the lung Some common signs of metastatic cancer include: How do you know if testicular cancer has spread? If found early, a testicular tumor may be about the size of a pea or a marble, but it can grow much larger. A painless lump or swelling on either testicle. Testicular cancer begins in your testes, the male reproductive organ. Nce testicular cancer develops, it can remain within the testicle, or it can spread to lymph nodes in the abdomen or pelvis. This is also called testicular cancer bone metastasis.
If it is not detected and treated, testicular cancer eventually can spread to the lungs, brain, liver, and other parts of the body.
If the cancer has spread to the lungs sometimes testicular cancer spreads to the lungs. Testicular cancer begins in your testes, the male reproductive organ. When cancer originates in one or both testes, a man can go a long time without any obvious signs or symptoms. Stage iii testicular cancer has three subcategories: Most testicular cancer patients are between the ages of 20. Nce testicular cancer develops, it can remain within the testicle, or it can spread to lymph nodes in the abdomen or pelvis. So when testicular cancer spreads to the lung (or any other place), it's still called testicular cancer. Shortness of breath, chest pain, or a cough (even coughing up blood) may develop from cancer spread in the lungs. If cancer cells have spread to your lymph nodes (or beyond your lymph nodes to another part of the body), symptoms may include: Testicular cancer is highly treatable, even when cancer has spread beyond the testicle. If testicular cancer has spread to other parts of your body, you may also experience other symptoms. Certain types of testicular cancer are more likely to spread than others. Shortness of breath, chronic cough or chest pain can turn out to be the symptoms of testicular cancer that have affected the lungs.
If it is not detected and treated, testicular cancer eventually can spread to the lungs, brain, liver, and other parts of the body. It can happen, but the plumbing is such that if someone thinks they might have cancer, just see a doctor and find out for sure. More advanced stages may have spread to the liver and bones. And you might have one tumor in one lung or many tumors in both lungs. If found early, a testicular tumor may be about the size of a pea or a marble, but it can grow much larger.
Testicular Cancer Survival Rates Iranian Surgery from iraniansurgery.com If it is not detected and treated, testicular cancer eventually can spread to the lungs, brain, liver, and other parts of the body. When testicular cancer spreads, it most commonly spreads to the lung and the lymph nodes of the chest, pelvis, and the base of the neck. In stage 3 of the disease, the cancer has invaded other organs such as the lungs, brain or liver. It's not called lung cancer unless it starts from cells in the lung. It may have spread to the lungs or lymph nodes, but has not spread to anywhere else in your body. A painless lump or swelling on either testicle. There is no poor prognosis grouping for seminoma testicular cancer. Testicular cancer can usually be cured, even if it has spread when it is diagnosed.'
A painless lump or swelling on either testicle.
Shortness of breath, chest pain, or a cough (even coughing up blood) may develop from cancer spread in the lungs. When the disease has reached stage 2, the cancer will have spread into the patient's lymph system (the retroperitoneal lymph nodes are usually he first to be affected) and may spread to the kidneys. Good prognosis means that your primary cancer was in your testicle, or at the back of your stomach or abdomen (retroperitoneal). Type of cancer how it's typically detected and diagnosed; In stage 3 of the disease, the cancer has invaded other organs such as the lungs, brain or liver. A lump or swelling in your neck. This is also called testicular cancer bone metastasis. A painless lump or swelling on either testicle. 'symptoms of testicular cancer in the lungs it is not very common for testicular cancer to spread to other organs, apart from the lungs. If found early, a testicular tumor may be about the size of a pea or a marble, but it can grow much larger. When cancer originates in one or both testes, a man can go a long time without any obvious signs or symptoms. It can happen, but the plumbing is such that if someone thinks they might have cancer, just see a doctor and find out for sure. Swelling and enlargement of male breasts.
Lump or swelling in your neck, under your arm, or in your groin. It rarely spreads to other organs in the body. When testicular cancer spreads, it most commonly spreads to the lung and the lymph nodes of the chest, pelvis, and the base of the neck. Additional areas where testicular cancer may metastasize include the: Around 5% of people with testicular cancer will experience symptoms of metastatic cancer.
Testicular Cancer Staging from www.rff.com If the cancer has spread to the lungs sometimes testicular cancer spreads to the lungs. If it has spread to the lungs you may have a cough or feel breathless. Around 5% of people with testicular cancer will experience symptoms of metastatic cancer. Some common signs of metastatic cancer include: At least one tumour marker level is moderately high. Pain and fractures, when cancer has spread to the bone headache, seizures, or dizziness, when cancer has spread to the brain shortness of breath, when cancer has spread to the lung Good prognosis means that your primary cancer was in your testicle, or at the back of your stomach or abdomen (retroperitoneal). More advanced stages may have spread to the liver and bones.
Symptoms of testicular cancer may include:
Sometimes the cancer will have already spread at the initial time of diagnosis. If testicular cancer has spread to other parts of your body, you may also experience other symptoms. These cancers have spread to a distant lymph node or the lungs. More advanced stages may have spread to the liver and bones. It's not called lung cancer unless it starts from cells in the lung. Type of cancer how it's typically detected and diagnosed; It rarely spreads to other organs in the body. Nce testicular cancer develops, it can remain within the testicle, or it can spread to lymph nodes in the abdomen or pelvis. Swelling and enlargement of male breasts. Cancer that is more advanced can also spread to the bones or the liver. Cancer can spread to any part of your lungs. When the disease has reached stage 2, the cancer will have spread into the patient's lymph system (the retroperitoneal lymph nodes are usually he first to be affected) and may spread to the kidneys. Other symptoms of testicular cancer usually do not appear until after the cancer has spread to other parts of the body.
Fundación teletón es una organización sin fines de lucro que busca servir a personas con discapacidad, cáncer y autismo. El público respondió masivamente al igual que las más importantes empresas e instituciones del país. Luego, en octubre, mostraremos cómo trabajamos y qué hacemos, todos los días, con el generoso aporte de las personas en los 14 institutos teletón; Martes a domingo, de 10:00 am a 5:00 pm. Y, en la tercera etapa, hay un llamado a la acción para estar en contacto con las personas. Yanet GarcÃa abre cuenta en OnlyFans; da un adelanto a sus from quinto-poder.mx Ubica tu centro teletón más cercano aqu í. Fundación teletón es una organización sin fines de lucro que busca servir a personas con discapacidad, cáncer y autismo. Martes a domingo, de 10:00 am a 5:00 pm. Bosque de chapultepec y parque ecológico xochimilco. En la primer...
What Is Today's Horoscope For Cancer - Cancer 2021 horoscope - what's in store for your star sign ... : Your spouse could make an announcement today about guests coming to visit, and you might not be too thrilled. . You may be swinging between positive and negative thoughts in everything that you do, feel astroyogi astrologers. Daily horoscope love what to watch quarantine career money health chinese tarot numerology planets free psychic reading psychics. Indastro is a source of free daily horoscope. Your spouse could make an announcement today about guests coming to visit, and you might not be too thrilled. Today's transits can play with your perceptions, dear cancer. They like being in a very emotional setup. But don't worry as this transit is likely to have a good influence on you although you may not feel it at first. Happy birthday like no other, cancer. This will unfold in connection with a former, current or potential partner (most likely) o...
Can You Get Breast Cancer After Menopause - October is National Breast Cancer Awareness Month - Red ... : If you have had a biopsy, your physician knows whether you have one of these. . Regular exercise is one of the best things you can do for your health and to lower your cancer risk. Here's why a stage 4 breast cancer diagnosis can be so frightening. There is not usually a lump with this type, and the cancer may not be you can learn more about how we ensure our content is accurate and current by reading our editorial policy. It's also worth asking your gp or breast care nurse if there's a specialist menopause clinic in your local area where you can get further advice and information about coping. Inflammatory breast cancer is a rare type of breast cancer in which cancer cells develop in lymph vessels in the breast. Is your risk of breast cancer so high already that adding to your odds of getting it outweighs the very high risk of osteoporosis and hear...
Komentar
Posting Komentar